Smile Gallery

Discover real transformations from our satisfied patients. See the power of modern dental care.

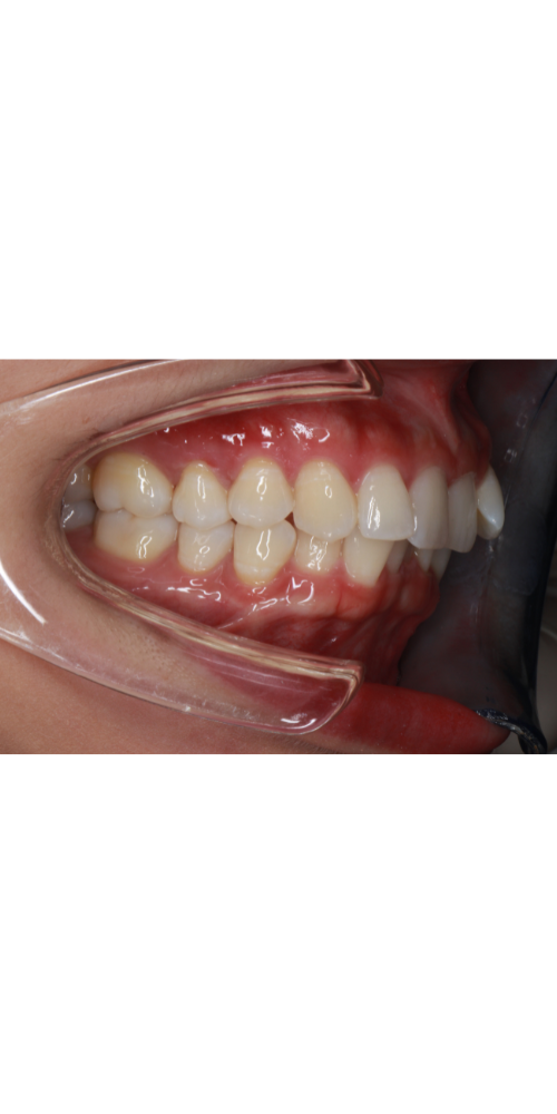
Invisalign Alignment - Before
Invisalign Alignment - After
Before
After

Invisalign Alignment

Discreet Invisalign trays designed to shift teeth into perfect position while keeping your smile natural and confident.

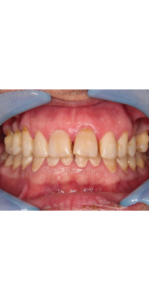
Veneer Aesthetic Enhancement - Before
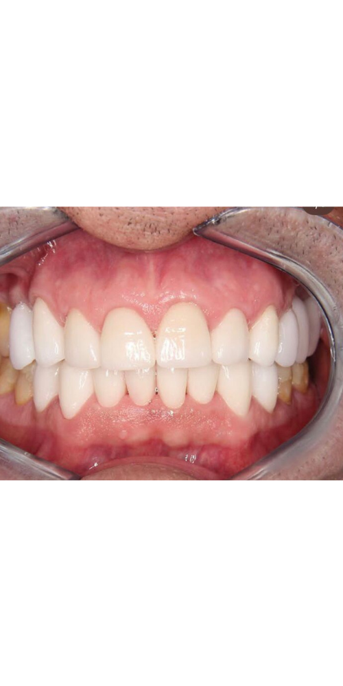
Veneer Aesthetic Enhancement - After
Before
After

Veneer Aesthetic Enhancement

A customized veneer treatment designed to reshape, brighten, and perfect your smile for a flawless, natural-looking result.

Invisalign Alignment - Before
Invisalign Alignment - After
Before
After

Invisalign Alignment

Discreet Invisalign trays designed to shift teeth into perfect position while keeping your smile natural and confident.

Stage Smile Makeover - Before
Stage Smile Makeover - After
Before
After

Stage Smile Makeover

A step-by-step approach including bite opening, a smile trial, and final upper and lower layered zirconia crowns for a brighter, more balanced smile.

Full-Mouth Revitalization - Before
Full-Mouth Revitalization - After
Before
After

Full-Mouth Revitalization

A stunning transformation: straighter front teeth, a brighter BL2 shade, smoother gumline, and a cleaner, healthier overall smile.

Zirconia Crown Transformation - Before
Zirconia Crown Transformation - After
Before
After

Zirconia Crown Transformation

A staged smile enhancement using bright BL1 zirconia crowns to beautifully mask dark underlying tooth color.

No results found for this category.

Learn About Our Clinics

This video introduces Ceres Point, one of our signature concepts designed to help you understand your oral health better through clear guidance, advanced technology, and patient-first care.

No results found for this category.

Ready for Your Smile Transformation?

Book a consultation with our expert dentists to discuss your smile goals.

Schedule Consultation